جرمگیری دندان چیست | انواع روش خانگی | عوارض | هزینه ۱۴۰۴
همه ما دوست داریم از شر لک و زدی دندان خلاص شویم و دندانهایی سفید و تمیز داشته باشیم. برای این کار ممکن راههای زیادی را امتحان کرده باشید ولی نتیجه مورد نظرتان را نگرفته باشید. جرمگیری دندان در مطب دندانپزشکی سادهترین راه حل برای داشتن دندانهای تمیز و زیباست. این روش تبدیل به یکی از رایجترین روشهای جرم گیری شده است. با جرمگیری دندان شما میتوانید به راحتی لکههای زرد و رسوبات روی دندانهایتان را از بین ببرید. با ما همراه باشید تا همه چیز را درباره جرمگیری دندان توضیح برایتان دهیم.
سرفصلها
جرم دندان چیست؟
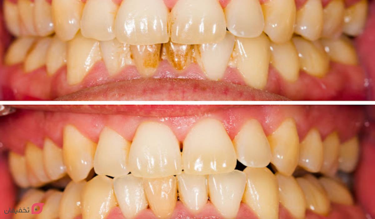
جرم رسوبی است که روی دندانها و لثهها شکل گرفته و رنگ و سلامت دندانها را به مخاطره میاندازد. بخشی از بوی بد دهان نیز مربوط به همین جرمهاست. اگر به این موضوع به اندازه کافی توجه نکنید. میتواند باعث پوسیدگی دندان و انواع بیماریهای لثه شود. جرمهایی که رسوب میشوند اگر در مراحل اولیه باشند به راحتی با مسواک زدن و نخ دندان از بین میروند. ولی این جرمها به مروز زمان به لایهای سخت تبدیل میشوند که با مسواک و نخ دندان از بین نمیروند و نیاز به درمان و مراجعه به دندانپزشک دارند.
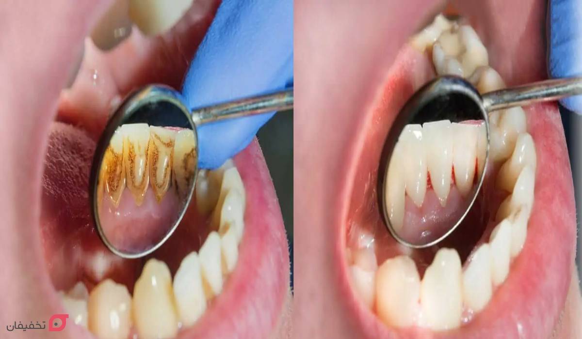
جرمگیری دندان چیست؟
جرم گیری دندان فرآیندی است که در آن پلاک و رسوبات سخت شده روی سطح دندان ها که به نام جرم یا تارتار شناخته می شود، توسط دندانپزشک یا بهداشت کار دندان برداشته می شود. این کار معمولاً با استفاده از ابزارهای مخصوص انجام می شود و هدف آن جلوگیری از پوسیدگی، بیماری های لثه و حفظ سلامت دهان و دندان است و مانند لمینت دندان جنبه زیبایی نیز دارد.
آیا جرم گیری دندان را خراب می کند؟
جرم گیری دندان اگر توسط فرد ماهر و در مراکز معتبر انجام شود، معمولاً آسیبی به ساختار دندان وارد نمی کند و در واقع کمک می کند تا سلامت دهان حفظ شود. اما اگر نادرست انجام شود یا ابزارهای نا مناسب استفاده گردد، ممکن است به مینای دندان آسیب برساند یا حساسیت ایجاد کند.
آیا جرم گیری دندان را نازک میکند؟
در واقع، جرم گیری دندان نازک کردن مینای دندان را ندارد؛ بلکه هدف آن حذف رسوبات سخت شده است که بر سطح خارجی دندان قرار دارند. این فرآیند باعث نازک تر شدن مینای دندان نمی شود بلکه برعکس، کمک می کند تا سطح سالم تر و تمیزتری داشته باشید و از بروز مشکلات بعدی جلوگیری کند.
جرمگیری دندان چگونه است؟
برای پلاکهایی که سطحی است و دندانهایی که جرم زیادی ندارند جرم گیری توسط یک جرمگیر انجام میشود. این نوع جرمگیری کاملا سطحی است. اما در جرمگیریهای نسبتا شدید دندانپزشک از یک ابزار التراسونیک استفاده میکند. دندان پزشک به وسیله این ابزار که سر فلزی هم دارد تمامی پلاک ها را از روی سطح دندان پاک میکند. این نوع درمان هیچ دردی ندارد. نوک قلم دستگاه جرمگیری با ایجاد لرزش و ضربههای بسیار کوتاه روی جرمها آنها را از بین میبرد، اما دندان را نمیتراشد که باعث ایجاد درد شود.در صفحه دندانپزشکی غرب تهران می توانید انواع خدمات کلینیک های دندانپزشکی را مشاهده کنید.
مواد جرم گیری دندان چیست؟
مواد مورد استفاده در جرم گیری دندان معمولاً شامل محلول های ضد عفونی کننده، آب و پودرهای مخصوص پولیش دندان هستند. در دستگاه های جرمگیری اولتراسونیک، از ارتعاشات صوتی همراه با آب استفاده می شود تا جرم ها بدون آسیب به مینای دندان جدا شوند. در مرحله نهایی نیز از خمیر پولیش حاوی فلوراید برای صاف و درخشان شدن سطح دندان ها استفاده می شود.
جرم گیری دندان چقدر طول می کشد؟
مدت زمان لازم برای جرم گیری دندان بسته به میزان رسوبات و وضعیت دهان فرد متفاوت است، اما معمولاً بین ۳۰ دقیقه تا یک ساعت طول می کشد. در مواردی که رسوبات زیادی جمع شده باشد، ممکن است نیاز به جلسات متعدد باشد تا کار کامل انجام شود.
آیا جرم گیری دندان درد دارد؟
در اغلب موارد، جرم گیری دندان کمی احساس حساسیت یا ناراحتی خفیف دارد اما دردناک نیست؛ البته این موضوع بستگی به حساسیت فرد نسبت به درمان های دهانی دارد. اگر لثه ها ملتهب یا حساس باشند، ممکن است کمی ناراحتی احساس شود که قابل کنترل است و پس از مدتی برطرف می شود.
برای مطالعه بیشتر: بهترین برند کامپوزیت دندان در ایران و جهان
آیا جرمگیری دندان خطر دارد؟
بسیاری از افراد فکر میکنند که جرمگیری دندان باعث از بین رفتن مینای دندان میشود و در نتیجه باعث پوسیدگی دندان میشود. در صورتی که این جرم است ضررات بیشتری را به دندان میزند. جرمها نه تنها موجب پوسیدگی دندانها میشوند بلکه امکان تجمع و تکثیر میکروبها را بیشتر میکنند. تنها راه خلاص شدن از این موضوع جرم گیری است.
جرم گیری ممکن است باعث حساس شدن دندانهای شما هنگام مصرف نوشیدنیهای گرم و سرد شوند. این موضوع به این دلیل است جرمهای روی دندان به عنوان یک عایق عمل میکنند و جلوی حس دندانها را تا حدی میگیرند. جرم گیری این موضوع را برجستهتر میکند که البته همیشگی نیست و بس از چند روز به این موضوع عادت خواهید کرد.
عدهای معتقد هستند که جرمگیری دندان باعث لق شدن و افتادن آنها میشود. این موضوع از باورهای نادرست درباره جرمیگیری دندان است. با تجمع تدریجی جرم روی دندانها و لثه و بیتوجهی به این موضوع، مقداری از استخوان نگهدارنده دندان تحلیل میرود.
در حقیقت دندان به این دلیل قبلا لق شده ولی به علت انباشتگی جرم و چسباندن دندانها به هم، بیمار لق شدن آنها را احساس نکرده است، اما بعد از برداشتن جرمها فرد متوجه آن میشود. البته این در مورد همه افرادی که جرمگیری میکنند، صادق نیست. مثلا فردی که دندانهای سالمی دارد بعد از جرمگیری مشکلی نخواهد داشت و اتفاقا از این که بوی بد دهانش از بین رفته و دندانهای تمیزتری دارد، بسیار راضی و خوشحال است.
انواع جرم گیری دندان
از روکش دندان گرفته تا جرم گیری، مدل های مختلفی وجود دارد. در این بخش قصد داریم روش های مختلف جرمگیری دندان را معرفی کنیم:
جرم گیری دستی (Manual Scaling)
در این روش، دندانپزشک از ابزار های دستی مانند قلم های فلزی (کورت) برای تراشیدن پلاک و جرم از سطح دندان و زیر لثه استفاده می کند. این روش برای نواحی که دسترسی سخت تر است یا بیماران با حساسیت به دستگاه های اولتراسونیک مناسب است.
جرم گیری اولتراسونیک (Ultrasonic Scaling)
با استفاده از دستگاه اولتراسونیک که ارتعاشات با فرکانس بالا و آب سرد ایجاد می کند، جرم های سخت شده (تارتار) را خرد کرده و از سطح دندان جدا می نماید. این روش سریع تر و کم تهاجمی تر است و برای اکثر بیماران توصیه می شود.
جرمگیری با ایرپالیشینگ (Air Polishing)
در این تکنیک، جریان پرسرعت هوا، آب و ذرات ریز سدیم بی کربنات به سطح دندان پاشیده می شود تا لکه های سطحی و پلاک های نرم را از بین ببرد. این روش برای افرادی که لکه های قهوه یا چای دارند ایده آل است.
جرمگیری لیزری (Laser Scaling)
با استفاده از لیزر، جرم ها بدون تماس مستقیم با دندان تجزیه می شوند. این روش درد کمتری دارد و برای بیماران با لثه های حساس مناسب است، اما هزینه بالاتری دارد.
بهترین روش جرم گیری دندان
بهترین روش جرم گیری دندان بستگی به شرایط فرد دارد، اما جرم گیری اولتراسونیک به دلیل سرعت بالا، دقت در حذف جرم زیر لثه و کاهش ناراحتی بیمار، به عنوان روش استاندارد شناخته می شود. ترکیب آن با ایر پالیشینگ برای حذف لکه های سطحی و ایجاد سطح صیقلی روی دندان، نتایج مطلوبی ایجاد می کند. با این حال، انتخاب نهایی باید توسط دندانپزشک بر اساس میزان جرم، حساسیت لثه و وضعیت کلی دهان انجام شود.
مزایا جرم گیری دندان
مزایای جرم گیری دندان شامل حذف پلاک و تارتارهای تجمع یافته بر روی سطح دندان است که باعث بهبود سلامت لثه و جلوگیری از بروز بیماری های لثه می شود. این فرآیند به تمیز شدن عمیق تر دندان ها کمک می کند و بوی بد دهان را کاهش می دهد، در نتیجه همانند ارتودنسی دندان، جرم گیری نیز سبب می شود تا فرد احساس تمیزی و اعتماد به نفس بیشتری پیدا کند. همچنین، جرم گیری می تواند عمر مفید دندان ها را افزایش دهد و از نیاز به درمان های پیچیده تر در آینده جلوگیری کند.
جرمگیری دندان در خانه
جرم گیری دندان در خانه بیشتر شامل روش های پیشگیری و کاهش تجمع پلاک است، زیرا جرم سخت شده (تارتار) تنها با ابزارهای دندانپزشکی قابل برداشتن است.
- ابتدا مسواک زدن صحیح با خمیردندان حاوی فلوراید و برس نرم حداقل دو بار در روز ضروری است.
- استفاده از تکنیک Bass (زاویه ۴۵ درجه مسواک نسبت به لثه) و حرکت لرزشی ملایم، پلاک زیر لثه را بهتر پاک می کند.
- نخ دندان روزانه به ویژه قبل از خواب، ذرات غذا و پلاک بین دندان ها را از بین می برد.
- برخی افراد از خمیردندان های حاوی جوش شیرین یا ذرات ساینده ملایم برای کاهش لکه های سطحی استفاده می کنند.
- دهان شویه های ضد باکتری حاوی کلر هگزیدین نیز رشد پلاک را کند می کنند، اما نباید بیش از دو هفته متوالی مصرف شوند.
- روش های طبیعی مانند مسواک زدن با زردچوبه (به دلیل خواص ضد التهابی) یا شستشو با محلول رقیق آب و هیدروژن پراکسید ۳٪ میتوانند مفید باشند، اما جایگزین مراقبت های حرفه ای نیستند.
توجه داشته باشید که استفاده از ابزارهای تیز مانند سوزن، خلال دندان فلزی یا دستگاه های جرم گیر غیر استاندارد به شدت خطرناک است و باعث آسیب به مینای دندان، خونریزی لثه و حتی عفونت می شود. حتی مسواک های برقی دارای قابلیت جرم گیری نیز تنها برای پاکسازی سطحی مناسبند. برای حفظ سلامت دهان، هر ۶ ماه یکبار جرم گیری حرفه ای توسط دندان پزشک ضروری است، چرا که جرم زیر لثه تنها در کلینیک قابل درمان است.
بروساژ دندان چیست؟
بسیاری از از کلینیک ها خدمات جرمگیری را با بروساژ دندان ارائه میدهند.لیست کامل این کلینیک ها را می توانید در صفحه دندانپزشکی شرق تهران مشاهده نمایید. عمل بروساژ در اصل عمل صیقل دادن دندانهاست. دندانپزشکان، دندانهای شما را به یک خمیر مخصوص آغشته میکنند و سپس به وسیله یک برس کوچک و مخصوص شروع به بروساژ دندانهای شما میکنند تا به دندنهای شما درخشندگی را برگردانند.
این نکته را فراموش نکنید که شما هنگام جرمگیری دندان تنها رسوبان رنگی روی سطح دندانها را از بین میبرید. در این روش رنگ داخلی دندانهای شما تغییری نخواهد کرد. اگر میخواهید دندانهایی داشته باشید که هم از درون و هم از بیرون سفید و درخشان باشد باید از پوسیدگی دندان استفاده کنید.
جرم گیری دندان در بارداری
جرم گیری دندان در دوران بارداری اهمیت ویژه ای دارد زیرا هورمون های بارداری ممکن است باعث افزایش حساسیت لثه ها و تجمع پلاک شوند که منجر به التهاب و خونریزی لثه ها می شود. انجام جرم گیری در این دوره کمک می کند تا سلامت دهان و دندان حفظ شده و خطر ابتلا به بیماری های لثه کاهش یابد، بدون اینکه آسیبی به جنین وارد شود. بهتر است این کار تحت نظر پزشک یا دندانپزشک انجام گیرد تا ایمنی مادر و نوزاد تضمین شود.
برای مطالعه بیشتر: بلیچینگ دندان چیست
مراقبت های بعد از جرم گیری دندان
- پس از جرم گیری، تا ۲۴ ساعت از مصرف غذاها و نوشیدنی های رنگی مانند چای، قهوه، نوشابه و سس گوجه خودداری کنید تا لکه گیری مجدد اتفاق نیفتد.
- در ۲۴ ساعت اول، مسواک زدن را با ملایمت انجام داده و از نخ دندان استفاده نکنید تا لثه های حساس فرصت ترمیم داشته باشند.
- اگر دندانپزشک ژل فلوراید تجویز کرده، آن را طبق دستور مصرف کنید.
- در صورت احساس درد یا حساسیت به سرما/گرما، می توانید از مسکن های معمولی مانند ایبوپروفن استفاده کرده و تا چند روز از خوردن غذاهای سفت، اسیدی یا داغ پرهیز کنید.
چرا بعد از جرم گیری دندان زرد می شود؟
زردی پس از جرم گیری معمولاً به دلیل از بین رفتن لایه جرم تیره رنگ است که قبلاً دندان ها را پوشانده بود و حالا رنگ طبیعی عاج دندان (که کمی زرد است) نمایان می شود. اگر مینای دندان نازک باشد یا دندان ها به دلیل مصرف داروهای خاص (مانند تتراسایکلین) تغییر رنگ داخلی داشته باشند، این زردی بیشتر به چشم می آید. در چنین مواردی، بلیچینگ یا لمینت زیر نظر دندانپزشک توصیه می شود.
عوارض جرم گیری دندان
جرمگیری ممکن است باعث حساسیت موقت دندان ها به سرما یا گرما، التهاب خفیف لثه و کمی خونریزی هنگام مسواک زدن شود. در برخی موارد، به ویژه اگر جرم زیر لثه عمیق بوده باشد، دندان ها به طور موقت کمی لق به نظر می رسند که طبیعی است و با بهبود لثه برطرف می شود. استفاده از دستگاه اولتراسونیک گاهی صدای ناخوشایندی ایجاد می کند که ممکن است برای برخی آزار دهنده باشد.
عوارض جرم گیری نکردن دندان
عدم جرم گیری منظم می تواند منجر به تجمع پلاک و تارتار بر روی دندان ها شود که باعث التهاب، خونریزی و عفونت های لثه می شود. این وضعیت ممکن است منجر به پیشرفت بیماری های پریودنتال شده و سبب تحلیل رفتن استخوان اطراف ریشه های دندان گردد، در نتیجه خطر از دست رفتن دندان افزایش پیدا می کند. علاوه بر آن، عدم درمان مشکلات دهان ممکن است بر سلامت عمومی فرد تأثیر گذاشته و ارتباطی با بیماری هایی مانند دیابت یا بیماری های قلبی داشته باشد.
هزینه جرم گیری دندان ۱۴۰۴
هزینه های جرمگیری دندان با توجه به تخصص دندان پزشک، موقعیت مکانی مطب و خدمات آن متفاوت است. هزینه جرمگیری در سال ۱۴۰۴ از ۵۰۰ هزار تومان شروع و تا ۱ میلیون متغییر است. البته با تخفیف های ویژه تخفیفان در خصوص دریافت خدمات از کلینیک های دندانپزشکی تهران می توانید با قیمتی بسیار پایین از خدمات مختلف دندان مانند جرمگیری، عصب کشی و پر کردن استفاده کنید.
سوالات متداول
نام دیگر جرم گیری دندان چیست؟
نام دیگر جرم گیری دندان، اسکیلینگ دندان است. این فرایند توسط دندانپزشک و با استفاده از ابزارهای مخصوص انجام می شود تا پلاک ها و رسوبات سخت شده روی سطح دندان و لثه پاک شوند. جرم گیری نه تنها ظاهر دندان ها را سفیدتر می کند، بلکه به حفظ سلامت لثه و جلوگیری از بوی بد دهان نیز کمک می نماید.
آیا جرم گیری دندان درد دارد؟
خیر، در اکثر موارد جرم گیری بدون درد است، اما اگر لثه ها ملتهب باشند ممکن است کمی ناراحتی ایجاد شود. دندانپزشکان از بی حسی موضعی در صورت نیاز استفاده می کنند.
چند وقت یکبار باید جرمگیری انجام داد؟
افراد با سلامت لثه هر ۶ تا ۱۲ ماه یکبار و بیماران مبتلا به التهاب لثه یا پریودنتیت هر ۳ تا ۴ ماه نیاز به جرم گیری دارند.
آیا جرمگیری خانگی کافی است؟
خیر، روش های خانگی تنها پلاک سطحی را کاهش می دهند و قادر به حذف جرم سخت زیر لثه نیستند. جرم گیری حرفه ای توسط دندانپزشک ضروری است.
چند ساعت بعد از جرم گیری دندان غذا بخوریم؟
معمولاً ۳۰ دقیقه تا ۱ ساعت پس از جرمگیری می توانید غذا بخورید، اما اگر فلورایدتراپی انجام شده باشد، بهتر است ۱ ساعت صبر کنید تا فلوراید جذب دندان ها شود. در وعده اول، غذاهای نرم و ولرم مانند سوپ، پوره سیب زمینی یا ماست انتخاب کنید و از جویدن با دندان های حساس خودداری نمایید. مصرف آب ساده بلافاصله پس از جرم گیری مجاز است.
با لمینت دندان ، انواع و هزینههای آن آشنا شوید























